Eritropoese
1. Proeritroblasto
- São células encontradas na medula óssea. É uma célula grande e redonda, tem núcleo grande e redondo, possui uma cromatina “frouxa”, onde é visualizado de 1 a 2 nucléolos, geralmente circulares e mais claros que o núcleo, o citoplasma é escasso e basófilo.
2. Eritroblaso basófilo
- Encontrado na medula óssea, é uma célula redonda pouco menor que o Proeritroblasto, tem núcleo grande e redondo, possui uma cromatina frouxa com apenas 1 nucléolo (nem sempre visível), citoplasma escasso, basófilo, porém existem zonas mais claras.
3. Eritroblasto policromático
- Encontrado na medula óssea, é uma célula redonda menor que o Eritroblasto basófilo, tem núcleo redondo e central, cromatina grosseira impedindo a visualização do nucléolo, o citoplasma é, geralmente, abundante e acinzentado, pois possui afinidade pela eosina e azul de metileno. Ocorre produção de Hemoglobina.
4. Eritroblasto Ortocromático
- Encontrado na medula óssea. É uma célula redonda menor que o Eritroblasto policromático, tem núcleo pequeno, redondo e periférico (afastado do centro), não possui nucléolo, cromatina claramente visível, o citoplasma abundante, repleto de hemoglobina e acidófilo, perde o núcleo no parênquima medular.
5. Reticulócito
- Tem diâmetro pouco maior do que o da hemácia e não tem núcleo, sendo formado por citoplasma acidófilo, no qual se pode ver um reticulado basófilo após a coloração pelo azul-de-cresil brilhante, por exemplo. Os reticulócitos estão presentes no sangue em torno de 1 a 1,5% do total das hemácias e correspondem a células recém-lançadas na circulação.
6. Eritrócito
- Possui cerca de 7 u de diâmetro e a forma de disco bicôncavo, com a borda medindo aproximadamente 2,6 u e o centro, 0,8 u. Borda mais corada e o centro bem mais claro, apresenta conteúdo hemoglobínico.
Leucopoese
Linhagem Granulocítica
1. Mieloblasto
- Diâmetros aproximado 15 µ, núcleo reniforme, cromatina grosseira, citoplasma acidófilo, granulações específicas numerosas, granulações azúrofilas ausente.
2. Promielócito
- Diâmetro aproximado 20 µ, apresente o núcleo redondo, cromatina delicada e pode haver ou não núcleos visíveis, citoplasma basófilo, granulações azurófilas, granulações específicas (áreas claras justanucleares).
3. Mielócito
- Diâmetro aproximado de 18 µ, núcleo oval, cromatina mais condensada, ausência de núcleos, citoplasma acidófilo, granulações específicas, granulações azurófilas raras.
4. Metamielócito
- Diâmetros aproximado 15 µ, núcleo reniforme, cromatina grosseira, citoplasma acidófilo, granulações específicas numerosas, granulações azúrofilas ausente.
5. Bastão ou bastonete
- Possui cromatina grosseira, citoplasma acidófilo, núcleo em forma de ferradura ou bastão, citoplasma acidófilo, contendo somente granulações específicas. Encontrado em pequenas quantidades no sangue periférico (5 a 6%).
6. Neutrófilo Segmentado
- Cromatina condesada, citoplasma smelhante a dos bastonetes apenas com granulações específicas, núcleo segmentado com vários lóbulos(2 ou 3 lóbulos), não há nucléolos.
7. Eosinófilo
- São eosinofílicas (possuem "afinidade por ácido"), aparecem de cor laranja-avermelhado, apresentam um núcleo com 2 lóbulos em média, o citoplasma é repleto de granulações grosseiras acidófilas.
8. Basófilo
- Citoplasma cheio de grânulos grandes e grosseiros corados de roxo que cobrem o citoplasma; citoplasma é basófilo, apresenta núcleo de forma irregular geralmente é bilobulado.
Linhagem Monocítica
1. Monoblasto
- É encontrado somente em esfregaços de medula óssea; seu núcleo é arredondado, cromatina delicada com nucléolos aparentes; grande relação núcleo/citoplasma, citoplasma levemente basofílico.
2. Promonócito
- Geralmente tem o tamanho do monoblasto, porém possui mais citoplasma, seu núcleo é ovóide. O contorno celular apresenta irregularidades com projeções delicadas. Observa-se nucléolos, porém a cromatina está mais condensada.
3. Monócito
- O monócito é a maior célula circulante no sangue periférico, com citoplasma abundante, núcleo irregular geralmente apresenta uma chanfradura, cromatina delicada. Citoplasma com basofilia muito discreta, com finas granulações azurófilas, presença de pequenos vacúolos ou inclusões citoplasmáticas.
Linhagem Linfocitária
1. Linfoblasto
- É a forma mais joven, contendo nucléolos mais ou menos marcados, núcleo redondo com cromatina frouxa, pode apresentar condensações que ocupa toda célula, citoplasma escasso, por conta da relação núcleo/citoplasma grande. Apresenta citoplasma levemente basófilo, raramente apresenta granulações azurófilas.
2. Prolinfócito
- É uma célula intermediária entre linfoblasto e linfócito; apresenta diâmetro de 10 a 15 u de diâmetro, relação núcleo/citoplasma grande mas tende a ser menor que a do LINFOBLASTO; citoplasma levemente basófilo, podendo também apresentar algumas granulações.O núcleo se apresenta arredondado, com cromatina mais condensada que a do linfoblasto, mas mais delicada que a do linfócito, pode apresentar nucléolos.
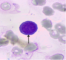
3. Linfócito
- O linfócito possui uma alta relação núcleo citoplasma ,escasso citoplasma com basofilia mais ou menos marcada, Cromatina nuclear grosseira, nucléolos ausentes, núcleo redondo, grânulos citoplasmáticos escassos ou ausentes.
4. Plasmócito
- São células que apresentam de 10 a 15 u de diâmetro,esféricas ou ovoides, com tamanho variando,núcleo redondo, com pequena relação núcleo/citoplasma, cromatina nuclear grosseira, citoplasma é abundante e apresenta basofilia acentuada.
Plaquetopoese
1. Megacarioblasto
- É derivado das células jovens da medula óssea, apresenta tamanho avantajado de 15 a 50u, alta relação núcleo/citoplasma com núcleo redondo ou reniforme. Há um ou dois nucléolos visíveis e o citoplasma basofílico.
2. Megacariócito Basófilo
- Tem de 20 a 80u, núcleo redondo, reniforme ou irregular, citoplasma mais abundante do que do megacarioblasto, pode conter ou não plaquetas e apresenta granulações grosseiras no citoplasma.
3. Megacariócito Acidófilo
- Seu diâmetro varia de 30 a 100 u, geralmente a maior célula da medula óssea possui núcleo grande, multilobulado com cromatina mais ou menos grosseiras e disposta em malha espessa, citoplasma é muito abundante, contendo ou não plaquetas nas bordas, poder conter granulações finas ou grosseiras.
4. Plaquetas
- Diâmetro aproximado de 3 a 4 µ em torno de 1µ de espessura, não possuem núcleo, citoplasma possuem duas porções uma é a porção granular e a outra é a porção agranular ou hialina. Estruturas pequenas, desprovidas de núcleo, ricas em glicogênio.
Referências
LORENZI, T. F. Manual de hematologia: propedêutica e clínica. 4. ed. Rio de
Janeiro: Guanabara Koogan, 2013. 710 p. ISBN 978-85-277-1237-8
LORENZI, THEREZINHA FERREIRA (COORD.). Atlas
de Hematologia: Clínica Hematológica Ilustrada. Rio de Janeiro: Guanabara
Koogan, 2006. 659 p. ISBN 85-277-1123-0
Universidade Federal
de Goiás. Atlas de Hematologia. Disponível em:
<https://hematologia.farmacia.ufg.br/>. Acesso em: 23 de março de 2018.
Fonte das imagens: Google imagens, imagens próprias, atlas de hematologia- Universidade Federal de Goiás (UFG).











































































Nenhum comentário:
Postar um comentário